Après préparation de gouttières ajustées à sa dentition, le patient utilise chez lui un gel actif de blanchiment qu'il injecte dans cette gouttière
Blog
La couronne sur implant recouvre le pilier d'un implant dentaire, comme sur une dent naturelle, afin d’en restaurer l'esthétique et la fonction
L'utilisation de brossettes interdentaires permet un nettoyage approfondi des espaces situés entre les dents et peut éviter une récidive de parodontite
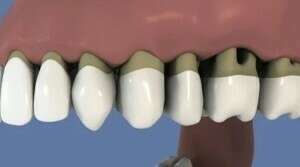
Il existe plusieurs techniques de remplacement d’une ou plusieurs dents, dont le bridge qui s’intègre naturellement au reste de la dentition et permet une restauration esthétique et fonctionnelle. Selon le contexte clinique, différents types de bridges pourront être proposés.
Oui ! Ne serait-ce que pour garder le plus longtemps possible ce bon état dentaire.






